Röntgenräume

Termin vereinbaren

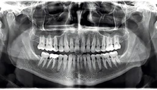
Panoramaröntgen und DVT

strahlenreduziertes 3D Zahnröntgen am Zahnambulatorium Wienerberg City in Wien

Unser Zahnambulatorium verfügt über zwei separate Röntgenräume, die beide über eine Vollausstattung an Geräten verfügen.

Mit unseren hauseigenen digitalen Volumentomographen werden Panoramaröntgen, 3D-(DVT)-Bilder und Kleinbilder bei niedriger Strahlenbelastung in höchster Auflösung und Qualität dargestellt.

 

Durch unsere Komplettvernetzung werden die Aufnahmen unmittelbar in die Ordination übertragen, wo sie als Basis für die ärztliche Beratung und Heilkostenplanung sowie die mögliche sofortige Behandlung herangezogen werden.

Ein Highlight in unserer Ausstattung

Planmeca Viso G5™

Das Flaggschiff der DVT-Einheiten, das die ideale Kombination aus erstklassiger Bildqualität und unvergleichlicher Benutzerfreundlichkeit darstellt:

  • Virtuelle Positionierung des Aufnahmebereichs

  • Verbesserte Planmeca ProFace®-Fotos

  • Korrektur von Bewegungsartefakten

  • Intelligente Positionierungshilfe

Wir freuen uns auf Ihren Anruf!

Vereinbaren Sie gleich telefonisch Ihren persönlichen Termin im Zahnambulatorium Wienerberg City.

+43 1 602 01 02 E-Mail